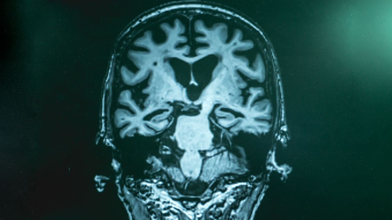
Ερευνητές από το Πανεπιστήμιο της Καλιφόρνιας στο Ίρβαϊν διερεύνησαν τον τρόπο με τον οποίο οι μορίων που υπάρχουν στη διατροφή επηρεάζουν την υγεία των νευρώνων. Η μελέτη τους, που δημοσιεύθηκε στο GeroScience, αποκαλύπτει ότι η νικοτιναμίδη και η γαλλική επιγαλλοκατεχίνη επίδρασαν στην παραγωγή ενέργειας στα εγκεφαλικά κύτταρα. Αυτές οι ενώσεις, που προέρχονται από τη βιταμίνη Β3 και το πράσινο τσάι, δοκιμάστηκαν σε νευρώνες από ποντίκια.
Τα εργαστηριακά πειράματα έδειξαν αποκατάσταση των επιπέδων τριφωσφορικής γουανοσίνης, ενός μορίου-κλειδιού για την κυτταρική ενέργεια. Αυτή η ανάκαμψη επέτρεψε στους νευρώνες να επανενεργοποιήσουν τους μηχανισμούς καθαρισμού τους, ιδιαίτερα την αυτοφαγία, η οποία εξαλείφει τα απόβλητα πρωτεϊνών. Τα συσσωματώματα αμυλοειδούς, χαρακτηριστικά της νόσου, μειώθηκαν σημαντικά μετά από μόλις είκοσι τέσσερις ώρες θεραπείας.
Η ομάδα χρησιμοποίησε έναν γενετικά κωδικοποιημένο αισθητήρα φθιρίου που ονομάζεται GEVAL για να παρατηρήσει τις αλλαγές σε πραγματικό χρόνο. Διαπίστωσαν ότι η μείωση της ενέργειας στα μιτοχόνδρια, τα εργοστάσια παραγωγής ενέργειας των κυττάρων, αντιστράφηκε. Αυτή η μη φαρμακευτική προσέγγιση θα μπορούσε να προσφέρει μια εναλλακτική λύση στις συμβατικές θεραπείες, στοχεύοντας άμεσα στην πηγή του ενεργειακού προβλήματος.
Ο μελετητής Gregory Brewer τονίζει ότι αυτή η μέθοδος αποκαθιστά βασικές κυτταρικές λειτουργίες που χάνονται με την ηλικία. Ωστόσο, προειδοποιεί να μην εφαρμοστεί αμέσως. Προηγούμενες κλινικές δοκιμές έχουν δείξει απενεργοποίηση της νικοτιναμίδης στο αίμα, γεγονός που απαιτεί βελτιωμένες συνθέσεις.
Αυτή η έρευνα ανοίγει το δρόμο για νέες θεραπευτικές στρατηγικές βασισμένες σε συμπληρώματα διατροφής. Υπογραμμίζει τη σημασία των ενεργειακών μορίων όπως το GTP, που συχνά παραβλέπονται σε μελέτες για νευροεκφυλιστικές ασθένειες. Απαιτείται επιπλέον εργασία για τη βελτιστοποίηση της χορήγησης και την επικύρωση της αποτελεσματικότητας σε ανθρώπους.
Έφτασαν τα νέας γενιάς χειριστήρια DualSense με σημαντικές αλλαγές, πως θα τα ξεχωρίζετε (photos)



Για την καλύτερη εμπειρία σου θα θέλαμε να σε παρακαλέσουμε να το απενεργοποιήσεις κατά την πλοήγησή σου στο site μας ή να προσθέσεις το enternity.gr στις εξαιρέσεις του Ad Blocker.
Με εκτίμηση, Η ομάδα του Enternity