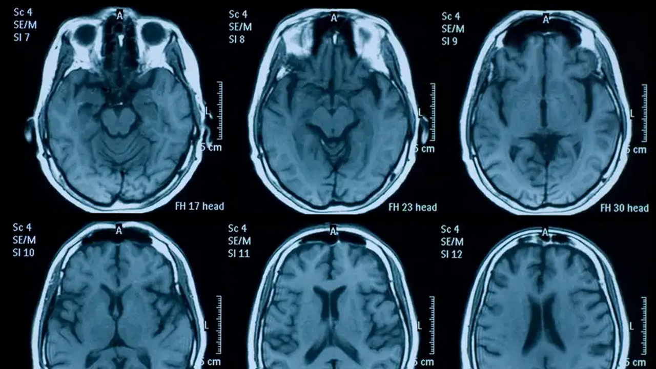
Η ομάδα επεξεργάστηκε εγκεφαλικές μαγνητικές τομογραφίες σχεδόν 1.000 ενηλίκων, συγκρίνοντας άτομα που σάρωσαν τον εγκέφαλό τους πριν και μετά την πανδημία με εκείνα που πραγματοποίησαν σάρωση μόνο προ πανδημίας, ώστε να εντοπιστεί διαφορά στον ρυθμό γήρανσης του εγκεφάλου, βασιζόμενη στο πόσο «ηλικιωμένος» έμοιαζε ο εγκέφαλος σε σχέση με την πραγματική ηλικία των συμμετεχόντων.
Οι αλλαγές αυτές ήταν πιο έντονες στους μεγαλύτερους ηλικιακά, στους άνδρες και σε ανθρώπους με κοινωνικοοικονομικές δυσκολίες. Είναι αξιοσημείωτο πως μόνο όσοι μολύνθηκαν από COVID-19 παρουσίασαν μετρήσιμη μείωση σε ορισμένες γνωστικές λειτουργίες – όπως η ταχύτητα επεξεργασίας πληροφοριών – ενώ για τη γενική αύξηση της «εγκεφαλικής ηλικίας» λόγω της πανδημίας δεν παρατηρήθηκαν άμεσα συμπτώματα.
Οι ειδικοί, ωστόσο, επισημαίνουν ότι οι μεταβολές μπορεί να είναι αναστρέψιμες και ενθαρρύνουν τη συνέχιση της έρευνας, καθώς τα ευρήματα δείχνουν πως μεγάλες περίοδοι κοινωνικής αβεβαιότητας και στρες μπορούν να αφήσουν αποτύπωμα ακόμα και στον εγκέφαλο υγιών ανθρώπων, τονίζοντας την ανάγκη να προσεγγίσουμε την υγεία του εγκεφάλου ολιστικά και πέρα από τις άμεσες βιολογικές επιπτώσεις μιας ασθένειας.
Leaker: «Εντυπωσιακά τεχνικά χαρακτηριστικά θα έχει το PS6 και το νέο φορητό PlayStation»



Για την καλύτερη εμπειρία σου θα θέλαμε να σε παρακαλέσουμε να το απενεργοποιήσεις κατά την πλοήγησή σου στο site μας ή να προσθέσεις το enternity.gr στις εξαιρέσεις του Ad Blocker.
Με εκτίμηση, Η ομάδα του Enternity